Üns ber! Saýtyň esasy maksady Siziň saglyk babatdaky gözýetimiňizi giňeltmekdir. Şonuň üçin-de, saýtda berilýän maglumatlar esasynda öz-özüňi bejermek maslahat berilmeýär. Öz-özüňi bejermeklik düýpli kynçylyklara uçradyp, janyňyza howp salyp biler. Saýtdaky makalalar, materiallar we beýleki maglumatlar bilim maksatly bolup, lukmanyň bejergisiniň ýa-da maslahatynyň ýerini tutup bilmeýär.

DIŞLERI GORAŇ: PARODONTOZ

  • Lukman
1 1 1 1 1 Gyzyklylygy: 4.32 (25 Ses)

Diş eti sagdyn bolmasa dişler sagdyn bolup bilermi? Ýok! Sebäbi hut diş eti dişleriň köküniň dolagy bolup durýar, onuň nemli bardasy bolsa goraýjy faktorlary işläp çykarmak bilen, hemişe agyz boşlugyny kesel dörediji mikroblardan gorap durýar. Uzaga çekýän diş etiniň keselleri syrkawlarda agyryny döredip, agzyndan ýakymsyz ysyň gelmegine we netijede dişiniň gaçmagyna eltýär. Diş etiniň keselleriniň içinde iň köp duş gelýäni parodontoz keselidir.

Parodontoz – dişleriň iýmitlenmeginiň bozulma(distrofiki) keseli bolup, äňiň we parodontyň (diş köküni gurşap alýan dokuma) süňk dokumasyna şikes ýetirýär. Ol dokumalaryň iýmitlenmeginiň, gan bilen üpjün edilmeginiň, mineral alyş-çalşyň we ýok bolan öýjükleri ýaňadan dikeltmek ukybynyň (regenerasiýasynyň) bozulmagyna eltýär.

Dişlerde distrofiki üýtgeşmeleriň emele gelmeginiň sebäpleri doly öwrenilmedik. Adatça parodontozyň ýüze çykmagyny adamyň ýaşaýşy üçin zerur bolan beden agzalaryna täsir edýän: nesil yzarlamak faktory we bedeniň içki agzalarynda ýüze çykan keseller (ateroskleroz, aşgazan ýarasy, bagryň sirroz keseli, süýjikeseli) bilen baglanyşdyrýarlar. Şeýle-de bu kesel dişleriň töweregindäki gan aýlanyşygynyň we endokrin (içki sekresiýa mäzleriniň) bozulmalarynyň ýüze çykmagy zerarly öjügip biler.

Parodontozyň kliniki häsiýetleri

Parodontozyň kliniki alamatlary hem aýdyň däl. Ol örän haýal ösýär we uzak wagtlap agyry duýgusy, biynjalyklyk bildirmeýär. Şol sebäpli adamlar lukmana kesel ötüşenden soň ýüz tutýarlar, bejergi köplenç ýagdaýda keseliň giçki döwründe başlanýar. Diňe wagtly-wagtynda hünärmen-stomotologlaryň barlagynda bolup durmak, keseli başlangyç döwründe ýüze çykarmaga mümkinçilik döredýär. Lukmana ýüz tutmak üçin aşakda agzalan alamatlar esas bolup biler:

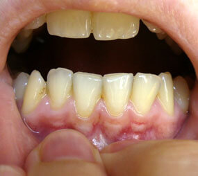
  • diş etiniň reňkiniň üýtgemegi – çişme alamatlary peýda bolmazdan, ol öçügsi reňkde bolýar;
  • dişiň "uzalmagy" – kem-kemden onuň inçelýän ýeriniň, soňra bolsa köküniň üsti açylýar;
  • dişde şine şekilli şikesiň peýda bolmagy, syrçasynyň iýilmegi (eroziýasy), ýüzüniň sürtülmegi we başga-da çüýrüklik zaýalanmasyna degişli bolmadyk alamatlaryň peýda bolmagy.

Parodontozyň başlangyç döwründe, diş etiniň gijemegi we iýmit çeýnelende oňaýsyzlyk peýda bolmagyndan başga ýüze çykyp duran alamatlary duýulmaýar. Keseliň dowam etmegi bilen, dişleriň arasynda iýmit galyp, inçelýän ýeriniň üsti açylyp başlaýar we şine şekilli şikes peýda bolýar. Egerde bejergi öz wagtynda alynmasa, kesel ötüşen görnüşe geçip, ähli dişleriň dolagynyň ýitirilmegine eltýär. Parodontoz, bedeniň içki agzalarynyň dürli keselleri sebäpli ýüze çykan ýagdaýynda, esasy kesel bejerilenden soň, durnukly derejede saklanyp biler. Adatça bu ýagdaýda kesel güýjemeýär, emma şonda-da çiş häsiýetli gaýra üzülmeleriň täsir etmegi bilen, käbir diş öýjüklerinde üýtgemeleriň peýda bolmagy mümkin.

Bu kesele duçar bolmak howpy abanýan topara, ýürek-damar ulgamynyň kesellerinden ejir çekýän, endokrin we bedeniň alyş- çalyş ulgamynyň bozulmalary bolan adamlar girýär. Şol sebäpli olaryň yzygiderli stomotologyň gözegçiliginde bolmagy hökmandyr.

Öte geçen parodontoz howply çişiň – düwnük keseliň döremegine eltmegi ahmal. Buňa Karolinskiniň adyny göterýän institutyň alymlarynyň ylmy-barlag işleri şaýatlyk edýär. "Eger-de adamyň dişleri dökülip başlasa, keseliň azyndan 15-20 ýyl bäri dowam edýändigini aňladýar. Ol özüni bildirmän ýören, ýaşaýyş üçin howply ýokanç bolmagy ahmal",- diýip ylmy-barlag işleriniň ýolbaşçysy, professor Birgitta Seder hasap edýär. Parodontoz keseline duçar bolanlaryň düwnük keseli we aşgazan keselleri bilen syrkawlamak howpy, sagdyn dişli adamlaryňkydan has ýokary. Emma häzir lukmanlar bu baglanyşygyň sebäbini düşündirmeýärler.

Parodontozy bejermek we öňüni almak

Paradontozy bejermegiň usuly, keseliň geçişine we adamyň beden agzalarynyň umumy ýagdaýyna görä lukman tarapyndan saýlanyp, syrkawlara aşakda görkezilen bejergiler maslahat berilýär:

  • ýerli gan aýlanşygy kadalaşdyrýan çäreler (gidromassaž, wakuum-massažy, darsonwal togunyň täsiri);
  • dişiň düýbinde gatap galan çökündileri (diş daşlary) aýyrmak.;
  • witamin-mineral toplumyny kabul etmek we bedende maddalaryň çalyşmasyny kadalaşdyrmak bilen bagly bolan derman serişdelerini ulanmak (nerobol, pentoksil, metilurasil);
  • psihoterapiýa (ruhy ulgama täsir edip bejermek);
  • şypahana-kurort şertlerinde bejergi;
  • kalsiý we witamine baý berhizi saklamak.

Keseliň başlangyç döwründe ýola goýlan bejergi oňaýly netije berýär, ötüşen ýagdaýynda - käbir dişleriň gaçmagyna we başga-da dürli gaýraüzülmelere eltip biler.

Parodontozy öý şertinde bejermek, diňe başlangyç döwründe, keseliň alamatlaryny wagtlaýyn köşeşdirip biler. Ýöne hiç-bir ýagdaýda onuň sebäbini ýok edip, bejerip bilmez. Şeýlelikde, halk lukmançylygynyň hödürleýän usullaryny medisina bejergisi bilen utgaşykda ýöretmek maslahat berilýär:

  • günde ir bilen, 10 gr duzy 20 gr bal bilen garyp, diş etine çalmaly;
  • ary mumyny spirtde ýatyryp, emele gelen şiräniň 20 damjasyny 1 bulgur gaýnan suwa garyp, her 4-5 sagatdan agzyňy çaýkamaly;
  • atgulagyň şiresine agzyňy çaýkamaly ya-da ter atgulagyň ýapragyny diş etine sürtmeli;
  • 1 çaý çemçe gury çaý, 1çaý çemçe owradylan sarymsagyň üstüne 1 bulgur gaýnap duran suw guýmaly. Agzyny pugta ýapyp 20 min saklap, süzmeli. Diş ýuwujy serişde bilen dişiňi mazaly arassalamaly we alnan ergine 5-10 min agzyňy çaýkamaly. Bejergiň möhleti 2 hepde.

Parodontozyň öňüni almak üçin dişlere yzygiderli ideg etmek zerurdyr, wagtal-wagtal dişde emele gelen daşlary aýyrtmaly, dogry iýmitlenip, yzygiderli stomotolog-lukmanyň gözegçiliginde bolmalydygyny unutmaly däl. Keseliň öňüni almak üçin mikroelementleriň toplumyndan düzülen "Sentrum", "Multitabs" we başga witamin derman serişdeleri satuwa giňden hödürlenen. Emma bu serişdeleri almazdan öň, lukman bilen maslahatlaşmagyňyz zerurdyr. Gündeki iýmitiňizde süýji önümlerini azaldyp, käşir, alma ýaly dişiňi arassalaýan, diş etini owkalaýan gök önümleri ulanmaga çalşyň. Häzirki döwürde parodontozyň öňüni almak üçin niýetlenen diş arassalaýjy pastalary we agyz boşlugyny çaýkamak üçin niýetlenen serişdeleri ýerlikli ulanmagy unutmaň.

Keseliň ilkinji alamatlary ýüze çykan wagty hökman lukmana ýüzleniň!

Beýik ýazyjy A.P.Çehowyň: "Sagdyn dişler – sagdyn aşgazandyr, sagdyn içegedir, işeňňirligiň we uzak ömrüň girewidir" diýen jümlesini ýörelge edinseňiz, siziň ak monjuk ýaly dişleriňiz şadyýan gülkiňiziň bezegi, sagdyn bedeniňiziň derwezesi bolar.

  • 10525 gezek okalan