• Makalalar
  • Keseller barada maglumatlar
  • Infeksiýon

Üns ber! Saýtyň esasy maksady Siziň saglyk babatdaky gözýetimiňizi giňeltmekdir. Şonuň üçin-de, saýtda berilýän maglumatlar esasynda öz-özüňi bejermek maslahat berilmeýär. Öz-özüňi bejermeklik düýpli kynçylyklara uçradyp, janyňyza howp salyp biler. Saýtdaky makalalar, materiallar we beýleki maglumatlar bilim maksatly bolup, lukmanyň bejergisiniň ýa-da maslahatynyň ýerini tutup bilmeýär.

1 1 1 1 1 Gyzyklylygy: 4.28 (53 Ses)

Burnuň iki gapdaly bilen, ýokarky äňde ýerleşýän süňk boşlugynyň (gaýmorowa boşlugy) nemli örtüginde alawlama hadysasynyň ýüze çykmagyny gaýmorit diýip atlandyrýarlar. Bu keseliň döremegine bakteriýalar, wiruslar, kömelejikler, şeýle hem allergiki faktorlar sebäp bolup bilýär. Alawlama ýagdaýlary burun boşlugyndan (birinden ýa-da ikisinden) nemli suwuklygyň erkin akmagynyň bozulmagy netijesinde ýüze çykýar. Suwuklygyň bir ýerde jemlenmegi alawlama hadysasynyň ýaýbaňlanmagy üçin oňaýly şert döredýär we bedeniň ýokançlyga garşy göreşmegini kynlaşdyrýar.

Dowamy

  • 19650 gezek okalan
1 1 1 1 1 Gyzyklylygy: 4.18 (17 Ses)

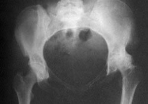
Häzirki wagtda süňk inçekeseli yüze çykyş ýygylygy boýunça öýkenden daşary döreýän inçekeseliň görnüşleriniň arasynda dördünji orny eýeleýändir.

Süňk inçekeseliniň gysga häsiýetnamasy

Eger inçekesel ýokanjy oňurgany we süňk bogunlaryny zeperlendiren bolsa, syrkawa süňk inçekeseli diýen kesel kesgidi goýulýar. Keseliň bu görnüşi Kohuň  taýajygynyň ilkinji inçekesel ojagyndan, gan arkaly,  süňk ýiligine geçmegi bilen döreýär we  on ýaşa çenli çagalarda has ýygy duş gelýär. Süňk inçekeseli  köplenç süňk ýiliginiň ahyrky böleklerinde (epifizde) ýaýbaňlanyp başlaýar. Soňra ol bogny örtýän nemli haltajygyna (sinowial haltajygy) we bogun kekirdewüklerine geçýär.

Dowamy

  • 10485 gezek okalan
1 1 1 1 1 Gyzyklylygy: 4.73 (11 Ses)

INÇEKESEL HOWPLUDYR!

Inçekesel – kesellemek we ölümçilik bilen tamamlanmak görkezijileriniň ýokarylygyna görä dünýäde ilkinji orunlaryň birini eýeleýär. Her ýyl bu kesele 9 milliondan gowrak adam duçar bolup, ol 3-4 million adamynyň ölüminiň sebäbi bolýandyr. Häzirki döwürde inçekesele garşy edilýän sanjymlar dünýäniň 64 döwletinde hökmany diýip yglan edilip, 118 döwletde  sanjymlary dowam etmek maslahat berilýär. Olaryň hökmany senenamalara salynmadyk ýurtlarynda hem, ýaramaz sosial-durmuş şertlerinde ýaşaýan, şeýle hem inçekesel bilen syrkawlamagy ýokary bolan döwletlerden gelenlere bu sanjymlar edilýär. Soňky 10 ýylda Russiýada we GDA ýurtlarynyň käbirinde  inçekesel bilen (şol sanda çaga inçekeseli bilen) syrkawlamagyň derejesi 2 esseden hem gowrak ýokarlandy. Bu keseliň gozgadyjysy, öň Kohuň taýajygy ady bilen belli bolan (ony açan nemes bakteriologynyň adyna görä) mikobakteriýa  zeperlenen beden agzalarynda özboluşly çişme prosesini döredýär – olarda kesele mahsus "güberçek" emele gelýär.  Keseliň häzirki  zaman ady  latyn sözünden gelip çykyp, güberçek diýmegi aňladýan tuberculum sözünden emele gelýär.

Dowamy

  • 9825 gezek okalan
1 1 1 1 1 Gyzyklylygy: 4.23 (22 Ses)

Badam  şekilli  mäzleriň  ýiti (angina) we dowamly sowuklama keselleri babatda lukmançylyk kömegini  berme otorinolaringolog  lukmanynyň işiniň agramly bölegini tutýandyr. Güýz we gyş aýlary has ýygy duş gelýän badam şekilli mäzleriň sowuklamagy  özwagtynda bejerilmedik ýagdaýynda, çynlakaý gaýraüzülmelere we zähmete ukyplylygyň  peselme ýagdaýlaryna getirip biler.

Dowamy

  • 14036 gezek okalan
1 1 1 1 1 Gyzyklylygy: 4.39 (28 Ses)

Inçekesel örän howply, bejergisi kyn bolan ýokanç keseldir. Ol syrkawy üzak wagtyň dowamynda zähmede ukypsyz edýär, onuň ölümçilik bilen gutarýan wagty hem seýrek däl.

Köplenç inçekesel bilen adamyň dem alyş agzalary (öýken, bronhlar we plewra) zeperlenýär, ýöne beýleki agzalaryň  – içege, böwrek, peşew çykaryjy ýollaryň, süňkleriň, deriniň we limfatik düwünleriň zeperlenýän ýagdaýy hem  seýrek däl. Limfatik düwünleriniň inçekeseli köplenç çagalarda duş gelýär.

Dowamy

  • 8936 gezek okalan
1 1 1 1 1 Gyzyklylygy: 4.93 (15 Ses)

Sitomegalowirus (SMW) ýokançlygy – ýer ýüzünde giňden ýaýran ýokançlyk bolup, immunitetiň gowşamagy bilen baglanyşykly, köpdürli kliniki alamatlaryň ýüze çykmagy bilen häsiýetlendirilýändir. Uçuklar wirusy maşgalasynyň iň howply görnüşlerine degişlidir.

Häzirki zaman amaly lukmançylykda bu wirus ýokançlygy aýratyn ünse eýe bolup, Bütindünýä Saglygy Goraýyş guramasynyň Ýewropa bölümi tarapyndan ol ýokanç keselleri bilen keselçiligiň geljegini kesgitleýän keseller toparyna degişli edildi.

Dowamy

  • 8279 gezek okalan
1 1 1 1 1 Gyzyklylygy: 4.37 (38 Ses)

Gijilewük – ýokanç deri keseli bolup, onuň ýüze çykmagyna ownuk mugthorlar – gijilewük sakyrtgasy bolan Sarcoptes scabiei ýa-da il arasynda goturlyk sakyrtgasy  ady bilen belli bolan mugthor sebäp bolýar.  Bu kesel edepli-tertipli jemgyýetde orun tapmadyk, arassaçylyk şertlerine boýun bolmaýan adamlara mahsus diýip arkaýyn bolmak ýalňyşlykdyr. Ol jemgyýetiň ähli sosial gatlaklaryna degişli adamlarda ýüze çykyp bilýär.

Keseliň döremegine urkaçy sakyrtgalar sebäp bolýar. Olaryň uzynlygy 0,3-0,4 mm ýetip, bir aýa golaý ýaşaýyş ukybyny saklaýar. Adamyň derisine düşen badyna olar  deriniň ýokarky gatynda (epidermisde) ýol ýasanyp, günde 2-3 ýumurtga taşlaýarlar. Olardan bolsa liçinkalar çykýp, olar 2-3 hepdeden ýetişen sakyrtga öwrülýär.

Dowamy

  • 20857 gezek okalan
1 1 1 1 1 Gyzyklylygy: 4.69 (16 Ses)

Aýal jyns agzalarynyň inçekeseli inçekesel taýajygynyň täsiri bilen döräp, özbaşdak kesel däl-de, bedendäki inçekesel ýokançlygynyň ýüze çykmagydyr.

Jyns agzalaryna gan damarlarynyň usti bilen köplenç öýkenden, seýrek ýagdaýlarda içegeden ýokançlygyň düşmegi zeperlenmeleriň başyny başlap biler. Inçekesel mikobakteriýalary köp wagtlap limfatiki düwünlerde saklanyp, bedeniň kesellere durnuklylyk häsiýeti gowşan ýagdaýynda ýaýrama ukyply bolýandyr.

Dowamy

  • 11880 gezek okalan
1 1 1 1 1 Gyzyklylygy: 4.18 (11 Ses)

Çaganyň syrkawlamagy hemişe uly alada, gaýgy, betbagytçylyk. Ony näçe aýasaň-da, käbir ýagdaýlarda keselden gorap saklap bolmaýar. Körpejäniň inçekesel ýaly uly adamlara mahsus kesele sataşmagy bolsa öränelhenç ýagdaýdyr. Ony wagtynda ýüze çykaryp, öte geçmeginiň öňüni almak üçin, ata-eneler çaga inçekeseli, onuň geçiş aýratynlyklary we alamatlary barada içgin bilmegi zerurdyr.

Statistiki maglumatlara görä, ýer ýüzünde azyndan her ýylda ýarym million kiçi çaganyň bu kesele sezewar bolup, olaryň 70 müňüsi onuň pidasy bolýar. Şonuň üçin-de, çagalar babatda bejeriş we öňüni alyş çärelerine has hem ýokary derejede üns berilmelidir.

Dowamy

  • 8537 gezek okalan
1 1 1 1 1 Gyzyklylygy: 4.29 (35 Ses)

2012-nji ýylyň 28-nji iýuly – gepatit keseline garşy bütündünýä göreş güni. Bu sene Bütündünýä saglygy goraýyş guramasy tarapyndan 2011-nji ýylda resmileşdirilip, halkyň gepatit keseli barada düşünjesini artdyrmaga, ony bejermek we öňüni alyş çärelerini ýerlikli geçirmek baradaky işleri alyp barmaga gönükdirilendir

Gepatit sözi, gadymy grek dilindäki hepar, hepatos sözlerinden gelip çykýar we bagyr diýmegi aňladýar. Bagyr adamyň bedeniniň iň uly mäzidir. Onda ýüze çykýan näsazlyklar bolsa bedende düýpli bozulmalara getirip biler. Hytaý lukmanlarynyň bellemegine görä, adam bedeniniň garramagy bagrynyň ýagdaýy bilen gönüden-göni baglydyr. Sagdyn bagyr doly gymmatly ýaşaýyşyň girewidir. Şeýle-de, ol bedeniň özboluşly "biohimiýa laboratoriýasy" bolup durýar. Bagyr zäherleýji maddalary zyýansyzlandyrýar, ganyň belokly maddalaryny işläp çykarýar, onda öt we glikogen emele gelýär, şeýle hem bagyr limfa suwuklygynyň emele gelmesine gatnaşýar, ganyň mukdaryny we uýamagyny sazlamak we saklamak wezipesini ýerine ýetirýär.

Dowamy

  • 19572 gezek okalan